
From Check-Ups to Cosmetic Dentistry
Complete Oral Care in One Place
Talk to our 48+ Doctors
Unity Cares Medical Center stands as a premier dental clinic in Abu Dhabi, dedicated to delivering exceptional, patient-centric oral healthcare. Our practice flawlessly integrates clinical excellence, cutting-edge technology, and a compassionate approach, ensuring every patient experiences comfort, precision, and the highest standard of care. Our distinguished team of specialists is recognized among the best dentists in Abu Dhabi, providing a comprehensive spectrum of services tailored to meet the unique needs of patients across all age groups. From routine preventive care to complex restorative and cosmetic procedures, Unity Cares is committed to delivering treatment that is both exemplary and accessible.
we provide complete general dentistry in Abu Dhabi, from routine dental checkups and cleanings to advanced..
we understand that the words “root canal” can sound intimidating, but modern dentistry has made..
we specialize in comprehensive orthodontic treatments including teeth straightening in Abu Dhabi, that help you..
At Unity Cares Medical Center, we believe every child deserves a bright, healthy smile and positive experiences at..
Our commitment to excellence, compassion, and personalized treatment has earned the trust of countless patients. Discover what sets our care apart. Discover what sets our care apart.
We are committed to improving health outcomes through personalized care, innovative treatments, and a focus on prevention.

At the core of our clinic is a team of accomplished clinicians with extensive expertise across all dental disciplines. Our best dentists in Abu Dhabi uphold the highest standards of patient care, delivering safe, evidence-based, and effective treatments at every stage.

Unity Cares offers an extensive range of dental services, from general dentistry and orthodontics to paediatric care, cosmetic enhancements, and dental implants. Each treatment plan is carefully designed to align with the patient’s health goals and lifestyle, ensuring lasting outcomes and optimal oral health.

Our clinic is equipped with the latest innovations in dental technology, including digital diagnostics, minimally invasive procedures, and advanced sterilization systems. These capabilities enable precise, efficient, and virtually pain-free treatments within a modern, safe environment.

Unity Cares is committed to delivering world-class dentistry at accessible prices. We provide transparent pricing, flexible plans, and comprehensive support to ensure affordable dental care in Abu Dhabi without compromising quality or clinical excellence.




From the initial consultation to the final outcome, every experience at Unity Cares reflects our unwavering commitment to excellence. Discover why we are consistently regarded among the best dental clinics in Abu Dhabi and allow us to guide you toward lasting oral health and a confident, radiant smile. Schedule your consultation today and take the first step toward transformative, patient-centered dental care at Unity Cares Medical Center.
We always take care of your smile
0585876673
Unity Cares is a leading dental clinic in Abu Dhabi, offering comprehensive services including general dentistry, orthodontics, cosmetic enhancements, paediatric care, and dental implants.
Appointments with our distinguished dentists can be scheduled online or via phone, ensuring personalized care and expert treatment tailored to your oral health needs.
Yes, Unity Cares is committed to accessible, world-class dentistry, offering transparent pricing, flexible plans, and cost-effective solutions without compromising quality.
Our clinic houses the best dentists in Abu Dhabi, all extensively trained across multiple disciplines to deliver evidence-based, safe, and effective dental care.
Unity Cares employs state-of-the-art equipment, including digital diagnostics and minimally invasive tools, to ensure precise, efficient, and comfortable treatment at our dental clinic in Abu Dhabi.
Yes, you can conveniently request prescription refills through our user-friendly online portal or mobile app.
Absolutely; our specialized paediatric dentists provide compassionate, expert care for children, making Unity Cares the preferred dental clinic in Abu Dhabi for families.
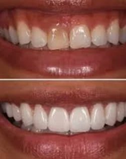
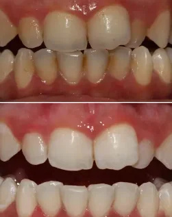
Yes, our clinic provides advanced cosmetic dentistry, smile makeovers, and dental implants, ensuring patients achieve both aesthetic and functional excellence.
Unity Cares maintains rigorous sterilization protocols and modern safety measures, providing a secure and professional environment for all patients at our dental clinic in Abu Dhabi.
Initial consultations are thorough yet efficient, allowing our specialists to design individualized treatment plans while prioritizing patient comfort and clarity.
We combine clinical excellence, advanced technology, and personalized service, delivering high-quality dental care that remains accessible and value-driven.




Our team brings together a wealth of experience, passion, and a dedication to excellence in patient care.
Ophthalmology
Anesthesiology
Infectious Disease
Cardiology
Excellence in healthcare is our standard, and our numbers back it up. From patient satisfaction rates to successful treatment outcomes.
Discover inspiring stories of recovery and healing from those we’ve had the privilege to serve.
"My kids love coming to Unity Cares! The pediatric dentist was so friendly and made them feel at ease. It’s hard to find a family dental clinic in Abu Dhabi that truly cares, but this clinic is perfect for both adults and children."
Get the latest information on health topics, wellness tips, and advancements in patient care.
WhatsApp us